Innovación en Prótesis Dentales

Dentocast Lab: Precisión y Estética

Asesoramiento y experiencia para resultados que marcan la diferencia.

Dentadura

Arte y biomecánica

En Dentocast Lab se fusionan arte y oclusión para diseñar y fabricar prótesis funcionales que se mimeticen en el entorno bucal.

Ni más ni menos.

Mi compromiso es garantizar funcionalidad, durabilidad y estética natural en cada trabajo

¿Por qué Dentocast Lab?

 Cada pieza que fabrico es única y responde a las necesidades específicas de cada persona.

estética dental

Calidad homologada

Colegiada en la Comunidad de Madrid Col. nº 282284 Licencia Sanitaria FPS: 01071/M
metal cerámica

Atención personalizada

Escucho tus necesidades para crear la solución ideal.
puente-implantes-scaled

Asesoramiento en los tratamientos

Más de 20 años de experiencia me avalan.
Dentocast Lab

Todo lo que necesitas en un solo lugar

Prótesis removibles

Soluciones cómodas y funcionales para cada paciente.

Metal Cerámica

Estética natural y durabilidad superior.

Circonia y disilicato

Estética sin metal .

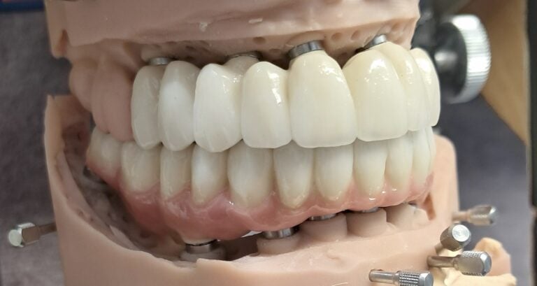
Implantes

Adaptados a las características de cada caso clínico.

Diseño CAD/CAM

Prótesis digitales de máxima precisión.

Impresión 3D

Modelos y estructuras exactas en tiempo récord.

Dentadura
Compromiso

Calidad y entrega en cada trabajo

 La importancia de una prótesis bien diseñada no sólo devuelve la funcionalidad, sino también la confianza del paciente en sí mismo, y en la clínica: en tí.